외상 및 골절 클리닉
- 홈
- 외상수부센터
- 외상 및 골절 클리닉
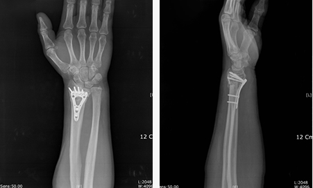
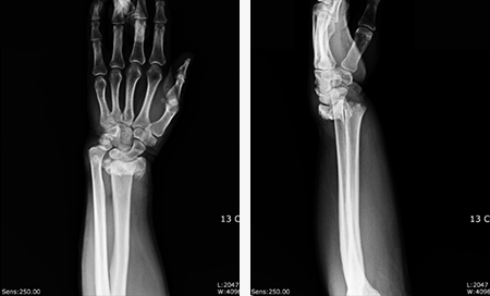
손목 골절
겨울철 낙상사고에서 가장 흔히 발생하는 골절 중 하나입니다.
과거의 손목 골절 치료방법은 단순히 뼈를 맞추고 장기간의
석고고정(기브스)으로 치료하였습니다.
그러다 보니 손목과 손의 강직과 변형이 남는 후유증이
발생되었습니다.
그래서 KS병원의 현재 치료방법은 수술용 금속판으로 견고하게
고정하고 조기 재활을 하여 후유증 없이 일상생활에 일찍 복귀
할 수 있도록 치료하고 있습니다.
수술 전
수술 후
KS병원은 관절·척추 병원입니다.
Knee, Spine의 첫 글자로 병원명을 만든 것처럼, 체계적인 관절 및 척추 질환치료를 목료로 합니다.
궁극적으로 대한민국의 표준이 되고자 합니다.



